Selenium-enriched Yeast
MOQ: 25KG
Grade: Food Grade
Test Method: HPLC
Shelf Life: 24 Months
Inventory: In Stock
Payment: T/T, VISA, XTransfer, Alipaymen
Certificates: HACCP, HALAL, KOSHER, ISO9001, ISO22000, FDA
- Fast Delievery
- Quality Assurance
- 24/7 Customer Service
Product Introduction
What is selenium-enriched yeast?
Selenium-enriched yeast is a biological product that converts inorganic selenium into organic selenium through a biological transformation method. Selenium is added during the yeast culture process. The yeast absorbs and utilizes selenium during growth, and the selenium is organically combined with the protein and polysaccharide in the yeast to transform into biological selenium. The biological efficacy of the selenium contained in it is 10 to 20 times that of inorganic selenium, and its acute and chronic toxicity is lower than that of inorganic selenium. In addition, it is rich in B vitamins, minerals and a variety of biologically active substances, such as proteins, carbohydrates and 18 vitamins. Therefore, it can not only be used as a selenium source, but also provide other beneficial nutrients at the same time. It has a wide range of applications in many fields such as nutrition, medicine and microbiology, especially in supplementing the selenium required by the human body. Due to its high efficiency and safety, it is gradually becoming an ideal selenium supplement.

Advantages
- Low toxicity, can be used as a compound source for selenium supplements in health foods.
- High bioavailability, 1.5-2 times that of inorganic selenium.
- It is a high-quality protein source, with a selenium content of up to 2000mg/kg and a protein content of more than 40%.
Nutritional value
Rich in organic selenium
The selenium in selenium-enriched yeast exists in the form of amino acids or small peptides, which are more easily absorbed and utilized by the human body.
Improve blood selenium levels
It can significantly increase the blood selenium level in the body, and its bioavailability is higher than that of inorganic selenium, which means it is more conducive to human absorption and utilization.
Rich in nutrients
Not only does it provide selenium, it is also rich in protein, B vitamins, minerals and a variety of bioactive substances. These ingredients not only help to supplement selenium, but also promote the absorption and utilization of other nutrients, thereby enhancing overall health.
Health Benefits
- Protect the liver: It can promote liver detoxification and protect liver health.
- Antioxidant: Selenium has a strong antioxidant capacity, can remove free radicals in the body and delay aging.
- Enhance immunity: Selenium is an important component of the human immune system, which can effectively enhance immunity and prevent diseases.
- Prevent cardiovascular disease: Selenium helps maintain cardiovascular health and reduce the risk of cardiovascular disease.
- Protect the cardiovascular system: Selenium can help maintain the health of blood vessel walls, lower blood pressure, lower cholesterol, and help protect the health of the cardiovascular system.

Dietary supplementation with a novel selenium-enriched yeast modulates gut microbiota and host metabolism in mice
This article discusses whether long-term intake of selenium-enriched Pichia kudriavzevii (SeY) affects the gut microbiota and host metabolism in mice and identifies microbiota and metabolites associated with beneficial outcomes.
1. Biosafety evaluation of Y, LSeY and HSeY (the results showed that Y, LSeY and HSeY showed excellent biosafety)

2. Effects of Y and SeY on growth characteristics and organ indexes of mice (the basic growth performance of healthy mice was not changed)

3. Effects of Y and SeY on serum ALT, AST and LDH levels (there were no significant differences in alanine aminotransferase (ALT), aspartate aminotransferase (AST) and lactate dehydrogenase (LDH) levels between all treatment groups and the control group)

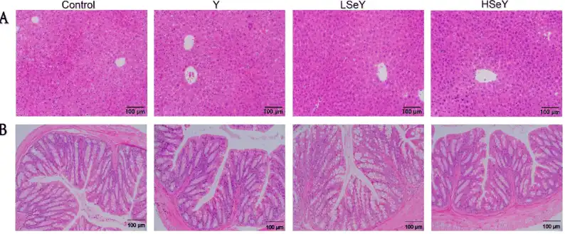
4. Histopathological evaluation (Y and SeY did not cause liver and colon damage)

5. SeY enhanced the antioxidant properties of mouse serum (HSeY provided higher CAT and SOD content than LSeY)

6. SeY alleviated serum inflammation (SeY group showed better anti-inflammatory effect than Y group, and the high-dose selenium group showed the most significant positive effect.)

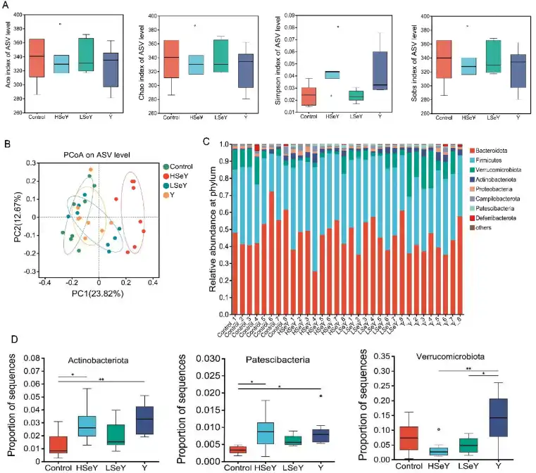
7. Y and SeY contributed to the beneficial intestinal flora of mice (SeY supplementation significantly changed the β diversity of intestinal flora.)

8. Y and SeY helps mice produce beneficial metabolites (these metabolites are mainly related to amino acid metabolism)

Conclusion: Y and SeY interventions optimize the structure of intestinal flora by promoting the colonization of beneficial bacteria and inhibiting the proliferation of harmful bacteria. There are significant differences in the effects of HSeY, LSeY and Y on host metabolism. In addition, selenium enrichment also enhances the health-promoting properties of strain Y, especially its antioxidant and anti-inflammatory properties.
Safety
- The selenium in selenium-enriched yeast exists in the form of organic selenium, which is much less toxic than inorganic selenium. Many tests have shown that it is a practically non-toxic substance and is much safer than inorganic selenium products.
- Organic selenium is more efficiently absorbed and utilized in the human body, and can better increase the blood selenium level in the human body and the amount of selenium retained in the body.
- As a safe and efficient source of selenium, it can help people meet their daily selenium needs and enjoy these health benefits.
Product Uses
Food
It is used as a food additive, especially in staple foods such as milk beverages, bread, and biscuits, as a selenium supplement. In addition, there are also the development and application of selenium-enriched milk powder, selenium-enriched flour, and selenium-enriched biscuits.
Health products
As a raw material source of nutrient selenium in health foods, it is used to develop products such as anti-aging.
Medicine
It is also used as a selenium supplement to help prevent and treat osteomalacia, protect the heart and cardiovascular system, etc.
Formulation Of Selenium-enriched yeast
Capusle Formulation

Tablet Formulation

Solid Drink Formula

Certificates
YTBIO is developing in an all-round way. We have our own factory, quality inspection and R&D team. We are committed to providing customers with the best quality Selenium-enriched yeast and services. It is our original intention to let every consumer enjoy high-quality and healthy products. If you have any needs or questions about our products, please feel free to contact us and we will reply you as soon as possible.

Packaging and Shipping

Our Factory

_1737093401309.png)
 
 